顎関節症治療ガイド|東京都町田市の吉見歯科医院監 HOME > 噛み合わせを治すための補綴治療
噛み合わせを治すための補綴治療
補綴治療で噛み合わせを治す流れを紹介します
ある患者様の治療完了までのプロセスです。

他院で入れた仮歯の状態です。
※クリックすると拡大します
![]()
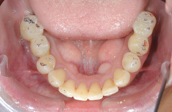
大学病院で最終的に入れた仮歯の状態です。ある程度の正しい噛み合わせになっていましたが、根本的な解決にはなっていませんでした。
※クリックすると拡大します
![]()
骨格と顎関節の動きをキャディアックスで分析して、患者様が受け入れられる(自分の組織として使える)デザインを作っていきます。
※クリックすると拡大します
![]()

![]()
Provisional restoration1の目的と材質
・再採得したデータをもとに精密に咬合再構築
・術後経過を観察してカバー出来ていない要素の抽出
・即時重合レジン
※クリックすると拡大します
![]()
Provisional restoration2の目的と材質
・咬合力に対抗するため咬合面のみハイブリッドレジンを使用
・確実なDecompression
・即時重合レジン+光重合ハイブリッドレジン
※クリックすると拡大します
![]()
Provisional restoration3の目的と材質
・確実なDecompression
・即時重合レジンにメタルのオーバーレイを張り付ける
※クリックすると拡大します
![]()
Provisional restoration4の目的と材質
・残留モノマーを可及的に排除
・Decompressionを維持
・加熱重合型レジン
※クリックすると拡大します
![]()
Long term provisional restorationの目的と材質
・咬合力に対抗し、条件の異なる支台歯を連結でき、長期安定性がある
・Decompressionを維持
・デュアルキュアハイブリッドレジン+ファイバー
※クリックすると拡大します
![]()
・回転運動と滑走運動のバランスの改善がみられた
・CADIAXのラインがスムーズになった
・咬合高径が低く、圧迫を感じる感覚が改善された
・AODの改善
・支台歯環境の改善
・強い咬合力に耐える、長期使用型のProvisionalへ移行できた
・審美的満足を得た
・長期使用による摩耗のコントロール
・HCIのSteep化によって、長期的に干渉傾向を改善すること
※クリックすると拡大します
本物が入ったら上手くいくのではなく、その以前に患者様に審美性と使用感を確認していただきます。その間に随時調整を行っていきます。
噛み合わせが正しい方向に進むには正しいプロセスが必要です。最も大切なのはブラキシズムコントロールとメンタルストレスマネージメントです。それはプロにしか分からないことですから我々プロに全てお任せください。

49歳で治療をスタートしました。生まれてから奥歯で噛んだことがなく、入れ歯を作っても噛めていないとのことでした。もともとアレルギー体質で鼻で呼吸ができませんでした。
※クリックすると拡大します
![]()

インプラントを入れました。
※クリックすると拡大します

仮歯を入れました。噛み合わせが低かったので高くする仮歯です。関節がつぶれていたので広げるためでもあります
※クリックすると拡大します
![]()

仮歯で関節が最大限に開いたところでデータを取って、それに合わせた噛み合わせにしました。治療期間は1年です。
※クリックすると拡大します




































































